Instituto Superior de Alta Formación y Especialización Empresarial
"CFAPE"
 
Email Clave  
Email    
Usuario actual Terminar Sesión
---
Envía tus ejercicios, tareas, examenes y proyectos para resolverlos.
 
 
   
CFAPE CARRERAS TÉCNICAS EXTENSIÓN SERVICIOS EGRESADOS CONTÁCTENOS
 

Sé testigo de la excelencia académica y tecnológica
Nuestro grupo de investigación te invita a visionar un impresionante video 3D, una muestra del ingenio de estudiantes y expertos. ¡Prepárate para ser cautivado!
 

AVISO A LA COMUNIDAD ESTUDIANTIL

Nuestro grupo de investigación de Computación Gráfica INVITA a la COMUNIDAD
para visualizar un impresionante escenario 3D desarrollado por
INVESTIGADORES y ESTUDIANTES.
 
 
Debes hacer CLIC en el botón de PLAY del video de YouTube para
CONTINUAR en el CAMPUS VIRTUAL.

 

¿Te gustó lo que viste? ¡Tu donación desde $1 USD es una gran motivación!
¡Si disfrutaste del video y encontraste valor o entretenimiento en nuestro contenido, considera hacer una pequeña donación para apoyar la continuidad de nuestro trabajo! 

Tu contribución es invaluable, y puedes ayudarnos a seguir creando contenido de alta calidad con una donación desde $1 USD.
Dona con Confianza: PayPal es Seguridad
¡Cada donación, grande o pequeña, marca una diferencia real!
 


CARRERA TÉCNICO SUPERIOR EN INGENIERÍA AMBIENTAL SEMESTRE V TURNO
ASIGNATURA MICROBIOLOGIA SECCIÓN
DOCENTE
    UNIDAD I:Evolución de la microbiología .Estructura bacteriana .Genetica microbiana

Describe la morfología y estructura de las bacterias
CFAPE.COM
TEMA 2. TÉCNICAS BÁSICAS EN MICROBIOLOGÍA

TEMA 2.2 PREPARACIONES FIJAS Y EN FRESCO
 
 
Microbiología experimental 2020-1

     


OBJETIVOS
 
  • Conocer los métodos de preparación en fresco y preparaciones fijas
  • Preparar frotis fijos y tinciones simples.
  • Identificar y describir las características morfológicas y la agrupación de las bacterias
  • Conocer el fundamento, técnica y aplicación de las principales tinciones utilizadas en microbiología
  • Identificar y describir el Gram de las bacterias presentes en muestras naturales
  • Identificar y describir endoesporas y cápsulas en cultivos microbianos
 
OBSERVACIÓN MICROSCÓPICA:

PREPARACIÓN EN FRESCO O HUMEDAS
 
  • Permite observar movilidad
  • Permite observar interacciones entre poblaciones in vivo
    • Puede combinarse con el uso de colorantes vitales para teñir estructuras específicas
 
PROCEDIMIENTO
 
  • Colocar con ayuda de una pipeta pasteur  1 gota de muestra  sobre un portaobjetos (limpio y desengrasado)
  • Colocar el borde de un cubreobjetos sobre la gota en un ángulo de 45°.
  • Dejar caer el cubreobjetos gentilmente sobre la gota de muestra.
  • Observar al microscopio a 10x y 45x.
  • No iluminar en exceso, baja intensidad de luz.

     



     


USO DE COLORANTES VITALES
 
  • Se usan colorantes diluidos 1:10 000.
  • Colorantes de baja Toxicidad.
  • Es una tinción simple (un colorante) en fresco.
  • Ejercen su acción en las partes vivas de la célula sin alterar su metabolismo.
 
PROCEDIMIENTO
 
  • Colocar  con ayuda de una pipeta Pasteur 1 gota de muestra sobre un portaobjetos(limpio y desengrasado), adicionar 1 gota de colorante.
  • Colocar el borde de un cubreobjetos sobre la gota en un ángulo de 45°.
  • Dejar caer el cubreobjetos gentilmente sobre la gota de muestra.
  • Observar al microscopio a 10x y 45x.
  • No iluminar en exceso, baja intensidad de luz.
  • Describir morfología y organelos observados.

     



     


PREPARACIONES FIJAS:

FROTIS FIJO
 
  • Permite aplicar métodos de tinción.
  • Hace que las bacterias queden inactivas y adheridas al portaobjetos.
  • Desnaturaliza las enzimas bacterianas presenvando las estructuras.

     


COMPONENTES DE UNA TINCIÓN
 
  • COLORANTE: Sustancia capaz de dar color a células, tejidos, fibras, etc
  • Químicamente esta constituido por:
    • Cromóforo: grupo aislado, covalente e insaturado que tiene una absorción característica
    • Auxócromo: son grupos funcionales o radicales que constituyen una molécula y poseen carga parcial positiva, tienen la función de intensificar el color.
  • AGENTE MORDENTE: Aumenta la afinidad entre el colorante/intensifican  en color.
  • AGENTE DECOLORANTE: Disolvente que se utiliza para eliminar el colorante no fijado.

Los colorantes usados pueden ser:

  • BÁSICOS: Cromóforo con carga positiva (catiónico). Se une a ácidos nucleicos y polisacáridos ácidos.
    • Clorihidrato de azul de metileno, safranina, cristal violeta, verde de malaquita.
  • ÁCIDOS: Cromóforo con carga negativa. No tiñen la célula.
    • Eosina, fucsina ácida.

     


CLASIFICACIÓN


     



     


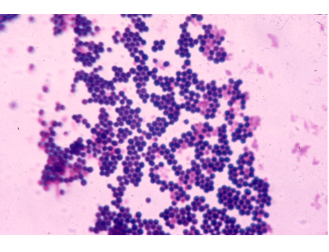
TINCIÓN SIMPLE
 
  • Se utiliza solo un colorante (básico)
  • Permite observar morfología y agrupación.
  • Permite observar su tamaño 

     


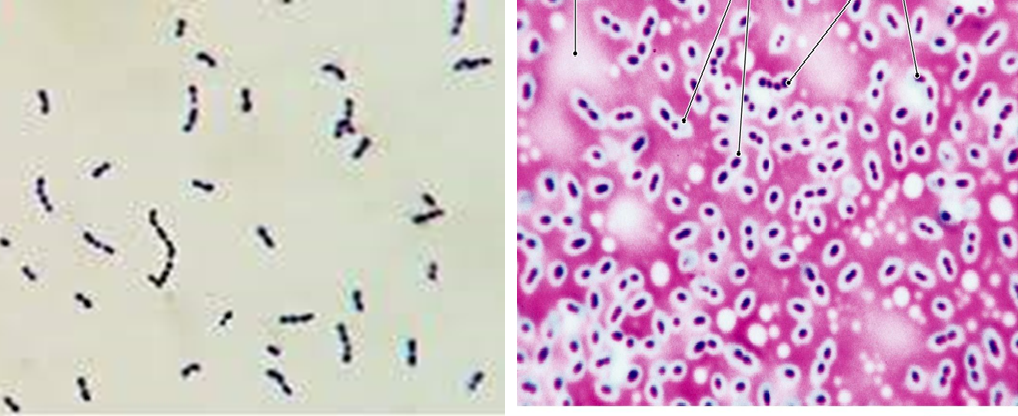
AGRUPACION Y MORFOLOGÍA BACTERIANA


     


REGISTRO DE OBSERVACIÓN MICROSCÓPICA

 
  • FECHA: día/mes/año
  • MUESTRAClave (ID), procedencia.
  • TINCIÓN: Tipo de tinción/colorante utilizado o preparación ( preparación en fresco/impronta, etc)
  • AUMENTO: Objetivo utilizado o aumento total utilizado
  • DESCRIPCIÓN: Morfología, agrupación, color o reacción a la tinción que se esta utilizando 

     


TINCIONES DIFERENCIALES

  • La diferencia esta en la pared

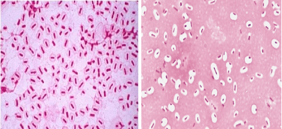
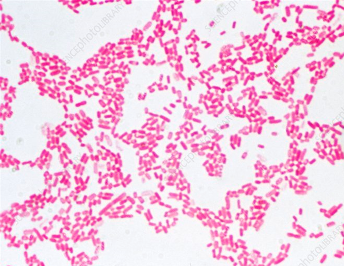
TINCIÓN DE GRAM

     


  • Desarrollada en 1884 por Hans Christian Gram
  • Clasificación bacteriana: Gram(+) y Gram (-)
  • Se basa en las características de la pared celular de las bacterias
  • Consiste en los siguiente pasos:
  1. Tinción primaria. Tinción con cristal violeta por 60 s- (colorante primario). Toda célula es teñida
  2. Agente mordente (lugol/yodo-yoduro) . Se une al cristal violeta en la celula y forma un complejo de cristal violeta-yoduro (CV-I)-ribonucleato de magnesio -60 s.
  3. Agente decolorante (etanol-acetona) Lava el colorante primario de aquellas bacterias que son incapaces de retener el colorante primario disolviendo lípidos de membrana externa. La pared de bacterias Gram (+) se deshidrata y cierra poros.
  4. Tinción secundaria o de contraste con safranina 60 s. Se tiñen las bacterias decoloradas (Gram negativas (-))
Enjuagar con agua en cada paso.
Resultado:
  • Bacterias moradas= Gram positivas (+)
  • Bacterias rojas= Gram negativas (-)

     


PARED BACTERIAS GRAM


     


TINCIÓN GRAM

     


IMPORTANCIA
 
  • Identificar pureza de un cultivo microbiano.
  • Asignar un tratamiento adecuado en función del microorganismo causante

     


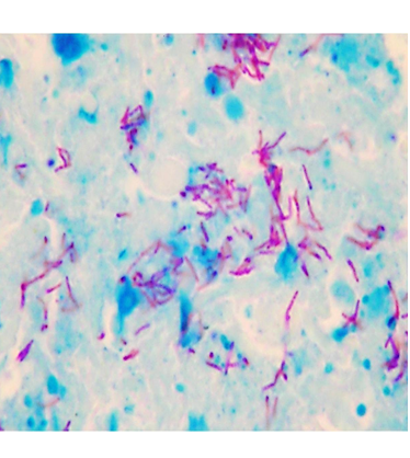
TINCIÓN DE ZEHL-NEELSEN


     


BACTERIAS ALCOHOL-ACIDO RESISITENTES 

 

  • Desarrollada por Franz Ziehl y Karl Adolf Neelsen para identificación del género Mycobacterium y Nocardia: 
  • Consiste en los siguiente pasos:
  1. Tinción primaria. Tinción con Fucsina fenicada con calentamiento (colorante primario). Toda célula es teñida
  2. Agente decolorante (HCl-Etanol) Lava el colorante primario de aquellas bacterias que son incapaces de retener el colorante primario.
  3. Tinción secundaria o de contraste con azul de metileno. Se tiñen las bacterias decoloradas 
  4. Resultado:
  • Bacterias fucsias= Alcohol-acido resistentes BAAR+
  • Bacterias azules= NO alcohol-ácido resistentes BAAR-

     


TINCIÓN BAAR 

     


IMPORTANCIA
 
  • Identificación de patógenos de importancia clínica:
    • Tuberculosis. Mycobacterium tuberculosis 
    • Lepra.  Mycobacterium leprae
    • Nocardiosis.  Nocardia sp.

     



     


TINCIONES SELECTIVAS

TINCIÓN DE ESPORA

     


  • Desarrollada por Schaeffer y Fulton para observación de esporas.
  • Géneros: Clostridium y Bacillus 
  • Consiste en los siguiente pasos:
  1. Tinción primaria. Tinción con verde da malaquita con calentamiento por emisión de vapores 5-10 min/ (colorante primario). Se tiñen células vegetativas y esporas
  2. Agente decolorante (Agua) Lava el colorante primario de las células vegetativas
  3. Tinción secundaria o de contraste con Safranina. Se tiñen las células vegetativas
  • Resultado:
    • Células vegetativas= rojas
    • Endoesporas/exoesporas= verdes

     



     


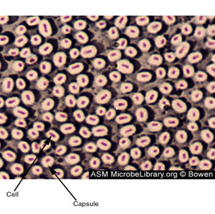
TINCIÓN DE CÁPSULA


     


TINCIÓN DE CÁPSULA (NEGATIVA)
 
  • Desarrollada para la detección de cápsulas
  • Géneros: Streptococcus  y Cryptococcus 
  • Las partículas tinta china/eosina no entran a la célula (0.2- 1µm)-cromóforos negativos.
  • No se fija al calor-integridad cápsula.
  • Resultado:
  • Fondo negro, microorganismos transparente

     



     


PROBLEMAS TINCIONES

 

PROBLEMA 1

 

Un paciente se presentó en el hospital con un cuadro severo de pneumonia, fiebre, sudores nocturnos y falta de apetito, después de hacerle una radiografía de torax, se observaron un gran numero de deformidades en el pulmón por lo cual se realizó una tinción de Ziehl Neelsen.

 

¿Qué microorganismo podría estar asociado?

 


     


PROBLEMA 2


Para la misma muestra se realizó una tinción de cápsula.
Completa tu descripción

 


     


PROBLEMA 3


Se realizó la tinción de Gram de una muestra de pulque y se tomo una micrografía a 100x.
Realiza la descripción

 


     


PROBLEMA 4

 

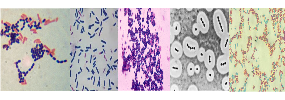
A continuación se te muestran 12 imágenes de tinciones microscópicas (numeradas de P1-P12), las cuales están asociadas a los siguientes microorganismos:

  • Pseudomonas aeruginosa
  • Staphylococcus aureus
  • Moraxella catarrhalis
  • Escherichia coli.
  • Salmonella typhi
  • Neisseria gonorrhoeae
  • Streptomyces griseus
  • Bacillus subtilis
  • Clostridium botulinum
  • Leuconostoc mesenteroides
  • Klebsiella pneumonie

Realiza una investigación acerca de la importancia clínica y en alimentos de estos microorganismos, después describelas  y di cual es el microorganismo más probable al que puede asociarse esa tinción. Justifica tu respuesta

 

P1

 

  • Un paciente en coma desarrolló una lesión purulenta en su espalda a la que se le realizó una tinción de Gram que se observó a 100x.

 

¿A qué microorganismo podría estar asociado?

 


     


P2

  • Debido a la sospecha de contaminación fecal en un agua para el consumo humano, se realizó una tinción de Gram al sedimento de la muestra.

 

¿Qué microorganismo podría estar asociado?

 


     


P3

  • El primo de un amigo desarrolló una infección en la garganta que le provocaba expectoraciones verdosas-amarillentas, se tomó una muestra de ellas y se realizó una tinción de Gram

 

¿A qué microorganismo podría estar asociado?

 


     


P4

 

  • El papa de Juanito desarrollo una infección en las vías respiratorias que rápidamente afecto a su oído produciendo un fluido purulento que salía a través de su oído. Se realizó una tinción de Gram y se observó lo que se muestra en la micrografía

 

¿A qué microorganismo podría estar asociado?

 


     


P5

 

  • Un hombre de negocios canadiense hizo una escala en CDMX, tenia mucha hambre y se comió unos tacos al pastor cerca del aeropuerto, unas horas después desarrollo una fuerte diarrea. Se tomó una muestra y se realizó una tinción de Gram.

 

¿Qué microorganismo podría estar asociado?

 


     


P6

 

  • Hace muchos años un estudiante de FQ  comió unos tacos de suadero en el pasillo que da hacia la salida a Odontología, después de unos dias  desarrollo una fuerte diarrea con presencia de sangre, fuertes dolores abdominales y fiebre y vómito.

Se tomó una muestra y se realizó una tinción de Gram.

  • ¿Qué microorganismo podría estar asociado?

 

 


     


P7

 

  • Después de una noche de pasión intensa, “Perenganito” comenzó a tener inflamación y dolor al orinar, después de unos días empezó a secretar un liquido fétido y purulento al cual se le realizó una tinción de Gram

    ¿Qué microorganismo podría estar asociado?

 


     


P8

 

  • En un laboratorio de investigación se consiguió aislar un microorganismo que producía un fuerte antibiótico, se realizó una tinción de Gram y se tomó la micrografía de la derecha
     

¿Qué microorganismo podría estar asociado?

 


     


P9

 

  • Un panadero detectó un defecto en sus panes artesanales, ya que en su ultimo lote se presentaban filamentos viscosos dentro de sus panes y el pan tenia un sabor indeseable

Se tomó una muestra y se realizó una tinción de Gram y de endospora.

  • ¿Qué microorganismo podría estar asociado?

 


     


P10

 

  • Un granjero que acostumbra hacer sus enlatados caseros detecto que en sus últimos enlatados de paté de hígado se habían abombado, consulto con su amigo QA , el cual tomó una muestra y se realizó una tinción de Gram y de endospora.

¿Qué microorganismo podría estar asociado?

 


     


P11

 

  • En un laboratorio de investigación dedicado a explorar las bondades del agua miel, se encontró que una muestra después de unos días presentaba una textura viscosa y un olor etilico, se realizo una tinción de Gram y una tinción de cápsula y se observó.

¿Qué microorganismo podría estar asociado?

 


     


P12

 

  • Un paciente con VIH, después de estar hospitalizado por más de 6 meses comenzó a tener un fuerte problema en las vías respiratorias que dificilmente reaccionaba al tratamiento con antibióticos.
  • Se decidió tomar una muestra y hacer una tinción de Gram y de cápsula para saber que microorganism podría estar implicado.

¿Qué microorganismo podría estar asociado?

 


     


MATERIAL DE CONSULTA ADICIONAL

 

 1. Preparaciones en fresco

 http://mediacampus.cuaed.unam.mx/node/4196

 -Gota pendiente

 https://www.youtube.com/watch?v=CAKfm77cUoU

 2. Tinciones vitales

 https://www.youtube.com/watch?v=X6uLtAVyR_0

 3. Impronta con azul de algodón

 https://www.youtube.com/watch?v=P-kiFFZ7NvU

 4. Presentación preparaciones fijas y tinciones

 -Preparaciones fijas: el frotis.

 https://www.youtube.com/watch?v=O9bUs7UuS10

 -Tinción simple

 https://www.youtube.com/watch?v=faZlvE8PN9s

 


Sé testigo de la excelencia académica y tecnológica
Nuestro grupo de investigación te invita a visionar un impresionante video 3D, una muestra del ingenio de estudiantes y expertos. ¡Prepárate para ser cautivado!

¿Te gustó lo que viste? ¡Tu donación desde $1 USD es una gran motivación!
¡Si disfrutaste del video y encontraste valor o entretenimiento en nuestro contenido, considera hacer una pequeña donación para apoyar la continuidad de nuestro trabajo! 

Tu contribución es invaluable, y puedes ayudarnos a seguir creando contenido de alta calidad con una donación desde $1 USD.
Dona con Confianza: PayPal es Seguridad
¡Cada donación, grande o pequeña, marca una diferencia real!
 


    UNIDADES
UNIDAD UNIDAD DE PUBLICACION ITEMS DE PUBLICACION
UNIDAD I Evolución de la microbiología .Estructura bacteriana .Genetica microbiana 
ITEM ITEM NOMBRE PUBLICACION TITULO - PAGINA WEB PUBLICACION SUBTITULO - PAGINA WEB
A Explica la importancia de la microbiología
(CLIC PARA VER CONTENIDO) Explica la importancia de la microbiología
B Describe la morfología y estructura de las bacterias
(CLIC PARA VER CONTENIDO) Describe la morfología y estructura de las bacterias
C Conoce la aplicación de las coloraciones bacterianas y métodos de esterilización.
(CLIC PARA VER CONTENIDO) Conoce la aplicación de las coloraciones bacterianas y métodos de esterilización.
D Comprende la genética microbiana
(CLIC PARA VER CONTENIDO) Comprende la genética microbiana
UNIDAD II Nutrición y Metabolismo Microbiano 
ITEM ITEM NOMBRE PUBLICACION TITULO - PAGINA WEB PUBLICACION SUBTITULO - PAGINA WEB
A Evalúa los nutrientes necesarios para que el microorganismo pueda desarrollar y reproducirse
(CLIC PARA VER CONTENIDO) Evalúa los nutrientes necesarios para que el microorganismo pueda desarrollar y reproducirse
B Comprende y conoce el crecimiento microbiano
(CLIC PARA VER CONTENIDO) Comprende y conoce el crecimiento microbiano
C Determina las necesidades metabólicas para diferenciar los microorganismos
(CLIC PARA VER CONTENIDO) Determina las necesidades metabólicas para diferenciar los microorganismos
D Comprende la acción de las enzimas en la cadena respiratoria, fermentativa y de los antimicrobianos.
(CLIC PARA VER CONTENIDO) Comprende la acción de las enzimas en la cadena respiratoria, fermentativa y de los antimicrobianos.
UNIDAD III Bacteriología 
ITEM ITEM NOMBRE PUBLICACION TITULO - PAGINA WEB PUBLICACION SUBTITULO - PAGINA WEB
A Describe las características, patogenicidad, vías de transmisión y prevención. Staphylococcus y Streptococcus.
(CLIC PARA VER CONTENIDO) Describe las características, patogenicidad, vías de transmisión y prevención. Staphylococcus y Streptococcus.
B Describe las características, patogenicidad, vías de transmisión y prevención. Enterobacterias, Clostridium y Bacillus.
(CLIC PARA VER CONTENIDO) Describe las características, patogenicidad, vías de transmisión y prevención. Enterobacterias, Clostridium y Bacillus.
C Describe las características, patogenicidad, vías de transmisión y prevención. Vibrio, Brucella, Pseudomona y Listeria.
(CLIC PARA VER CONTENIDO) Describe las características, patogenicidad, vías de transmisión y prevención. Vibrio, Brucella, Pseudomona y Listeria.
D Describe las características, patogenicidad, vías de transmisión y prevención. Campylobacter, Yersinia y Helicobacter pylori.
(CLIC PARA VER CONTENIDO) Campylobacter, Yersinia y Helicobacter pylori.
UNIDAD IV Mohos y levaduras. Virus 
ITEM ITEM NOMBRE PUBLICACION TITULO - PAGINA WEB PUBLICACION SUBTITULO - PAGINA WEB
A Describe las características, estructuras y reproducción de los hongos
(CLIC PARA VER CONTENIDO) Describe las características, estructuras y reproducción de los hongos
B Describe las características diferenciales de los géneros de levaduras
(CLIC PARA VER CONTENIDO) Describe las características diferenciales de los géneros de levaduras
C Describe las características, diferenciales de los géneros de mohos.
(CLIC PARA VER CONTENIDO) Describe las características, diferenciales de los géneros de mohos.
D Comprende las características generales y peligrosidad de los virus.
(CLIC PARA VER CONTENIDO) Comprende las características generales y peligrosidad de los virus.


    BIBLIOGRAFIA

I Unidad Didáctica

  • DIAZ, R y Colab. 2003. Manual Práctico de Microbiología, 2da Edic.; Edit.; Masson.
  • GRANADOS,P. RAQUEL Y VILLAVERDE, P. CARNEN. 2003. Microbiología, tomo I 1era Edic.; Edit.; Thoson
  • KONEMAN W. Allen 2006 Diagnostico microbiológico. 6ta. Ed. Editorial medica panamericana S.A.
  • http://www.icmsf.iit.edu/
  • http://www.fda.gov/
  • http://www.aoac.org/

II Unidad Didáctica

  • ALBERT, C. ESCOLA, M. 2002. Método de análisis microbiológico. Madrid. Ediciones Diaz de Santos S.A.
  • GAMAZO, C. y Colb. 2005. Manual Práctico de Microbiología. 3era edic.; Edit.; Massot.
  • GRANADOS, P. RAQUEL Y VILLAVERDE, P. CARMEN. 2007. icrobiología, tomo II, 2da Edic.; Edit.; Thoson.
  • http://www. Infocame.com /
  • http://www. minsa.gob.pe /
  • http://www. conam.gob.pe /

III Unidad Didáctica

  • GARCIA, de microbiologia médica. Mexico
  • LEVINSON, w. 2004. Microbiología e inmunología médica, 8 edic.; Edit.; Interamericana.
  • LEVEAU, J, y BOUIX, M, 2000. Microbiología, 1era Edic. ; Edit. ; Acribía. 
  • http://vm.cfsan.fda.gov/~ebam/bam-toc.html
  • http://www.codexalimentarius.net/web/index_es
  •  http://www.apha.org

IV Unidad Didáctica

  • MURRAY, R. P. Y Colb. 2007. Microbiología. 5ta Edic.; Edit.; Elsevier - España.
  • JAWETZ, M Y ADELBERG. 2001, Microbiología médica de Jawetz, 17 ava edic.; Edit.; Manual Moderno.
  • STUART, W. T. 2001, Microbiología. 1edic.; Edit.; Interamericana.
  • http://www..fao.org/
  • http://www.Infoagro.com /
  • http://www..diba.es/ 
    UNIDAD I:Evolución de la microbiología .Estructura bacteriana .Genetica microbiana


Explica la importancia de la microbiología
CFAPE.COM
Describe la morfología y estructura de las bacterias
CFAPE.COM

Conoce la aplicación de las coloraciones bacterianas y métodos de esterilización.
CFAPE.COM


Comprende la genética microbiana
CFAPE.COM
Evalúa los nutrientes necesarios para que el microorganismo pueda desarrollar y reproducirse
CFAPE.COM


Comprende y conoce el crecimiento microbiano
CFAPE.COM
Determina las necesidades metabólicas para diferenciar los microorganismos
CFAPE.COM




Comprende la acción de las enzimas en la cadena respiratoria, fermentativa y de los antimicrobianos.
CFAPE.COM



    UNIDAD I:Evolución de la microbiología .Estructura bacteriana .Genetica microbiana


Describe las características, patogenicidad, vías de transmisión y prevención. Staphylococcus y Streptococcus.
CFAPE.COM
Describe las características, patogenicidad, vías de transmisión y prevención. Enterobacterias, Clostridium y Bacillus.
CFAPE.COM

Describe las características, patogenicidad, vías de transmisión y prevención. Vibrio, Brucella, Pseudomona y Listeria.
CFAPE.COM


Campylobacter, Yersinia y Helicobacter pylori.
CFAPE.COM
Describe las características, estructuras y reproducción de los hongos
CFAPE.COM


Describe las características diferenciales de los géneros de levaduras
CFAPE.COM
Describe las características, diferenciales de los géneros de mohos.
CFAPE.COM




Comprende las características generales y peligrosidad de los virus.
CFAPE.COM




Sé testigo de la excelencia académica y tecnológica
Nuestro grupo de investigación te invita a visionar un impresionante video 3D, una muestra del ingenio de estudiantes y expertos. ¡Prepárate para ser cautivado!

¿Te gustó lo que viste? ¡Tu donación desde $1 USD es una gran motivación!
¡Si disfrutaste del video y encontraste valor o entretenimiento en nuestro contenido, considera hacer una pequeña donación para apoyar la continuidad de nuestro trabajo! 

Tu contribución es invaluable, y puedes ayudarnos a seguir creando contenido de alta calidad con una donación desde $1 USD.
Dona con Confianza: PayPal es Seguridad
¡Cada donación, grande o pequeña, marca una diferencia real!
 


 
 
 
             
Quienes somos       Contacto       Aviso legal       Potica de privacidad
             
 
© Todos los Derechos Reservados 2010 por CFAPE.COM - EDUCACIÓN SUPERIOR A DISTANCIA  
Escribe tus preguntas, sugerencias, observaciones y comentarios a:
Email: cfape@cfape.com
Email: cfape10@gmail.com  
 
 
 
?>